Navigation: Home => Familie => Ginger => Part 3
Last updated: March 28, 2004  Translation by SegwayEuroTour
Text in Deutsch

After Six Months: Things Backfire

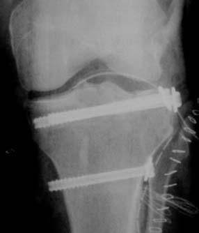
In hospital broken bone labeled Bruchstele Shin fixed with 3 screws Looking into the knee by arthroscope during surgical treatment

After exactly one half-year of untroubled riding pleasure it happens: I have an accident with my idiot-proof senior-citizen-vehicle! Suddenly my daily routine changes drastically: ambulance, university hospital, X-ray (diagnosis: long break in the tibia-plateau, the shin), a cast, knee-puncture, operation (bones fixed back in place with three screws), rehabilitation exercises and laboriously learning to walk again with crutches. A total of 12 days in the hospital and then at first twelve weeks of not being allowed to put more than 10 kg on the leg, otherwise the bones will break again and the whole painful routine will start from the beginning.

The accident was caused by my own carelessness: a plastic bag with three packages, which I had just picked up from the post office and had hung on the right-side Segway handlebar, suddenly couldn't carry all that weight anymore. The bag tore at its handle and fell directly in front of the right wheel. It all happened so quickly and unexpectedly that I couldn't react. It was a terrific jolt, but the Segway HT anyway managed to run over the packages with its right wheel without losing its balance. Only once the obstacle was overcome did it come to a sharp, unexpected turn to the left, which threw me from the platform. The cause of this turn is unexplained and perhaps a flaw in the Segway software? I then was standing turned 120º from the original direction of travel behind the Segway and still had the handlebars in my hands. It was all rather unspectacular, I didn't fall to the ground, only the fast turn together with the 20cm fall from the platform broke my shin. The Segway was still in balance-mode and survived the accident undamaged.

After Barely a Year

Quick information by business card Bicycle-computer BC800 Reed-contact and stiffen parking stand Spoke-magnets measure the wheel-movement

My knee injury has healed well. It's true that I still limp a little, and I'm not entirely free of ailments, but I can get around again without assistance and above all ride my Segway again! I've used the enforced pause in my riding to install a bicycle-computer, reinforce the kick-stand, and prepare a business card.

The bicycle-computer measures speed, and distance and time traveled. After several fruitless experiments with wireless devices which all failed to accommodate the necessary distance (the one-meter length between wheel and handlebars is still too much), the installation of a wired BC800 from Sigma Sport was quite simple. To preserve the sensors I needed a lengthened reinforcement-screw for the fender. Eight-millimeter spoke-magnets from the firm Ciclosport provide the electrical contacts. They can be pressed right into the wheel-struts and additionally secured with tape. The five magnets raise the device's accuracy, and allow the speed to be displayed to the tenth of a km/h. The highest speed measured varies between 19.6 and 20.2 km/h. Distance traveled is shown in one-meter units. You can better estimate the distance remaining to be ridden this way than you can with the crude, 10-step battery indicator of the Segway. With freshly-charged batteries and good road conditions my action-radius amounts to a good 17km, even with my well-used batteries.

After I loaned my Segway to the 2003 Open House Day of the Technical University of Lübeck (the presentation was the top hit), I got the vehicle back with the kick-stand broken off. The fact that it breaks off is meant as a safety feature. It's supposed to stop people from falling, in case someone accidently tries to ride off with the kick-stand still extended. Unfortunately, the kick-stand is therefore rather frail and breaks off rather easily, all it takes is someone to stand on the parked vehicle. So I screwed two aluminum plates onto the broken kick-stand and so put it into a splint. It now has a good rigidity and gives the parked Segway a much better stability than before. This measure is therefore recommended for those kick-stands that are (still) whole.

Passers-by continue to address me about my remarkable vehicle. I don't always have the time or desire for a full explanation of all beginners' questions. In such situations the handing-out of a business card in 54x85mm format has proved its worth a thousand times over. Interested parties quickly get the most important data and have an additional opportunity via the Internet link to find out more. The card is received very gratefully.

In America a year after sales began many users are getting together in local user-groups and are planning a second big Segway-congress for 8-10 October 2004 in Florida, SegwayFest 2004. Also in Germany acceptance and diffusion are growing slowly but surely. German Economy Minister Clement posed on a Segway for various photojournalists not long ago. Getting one is also easier. It's true that there are not yet any producer-authorized distributors here yet, but several businesses will help buyers through the trouble of having one imported (addresses upon request).

Back to Part 2  Back to the Survey